文/M鞭
男人都希望那話兒越大越好,但美國佛州一名17歲少年生殖器還沒勃起,就長達18公分,周長25公分,跟葡萄柚差不多大,害他沒辦法運動,也沒人要跟他上床,成為全世界第一個接受陰莖縮小術的患者。
少年因生殖器太大很難穿褲子,且下面太大包引人側目,讓他覺得很難為情。
像為陰莖抽脂
加上少年的陰莖勃起時並不會變大,只是變硬,形狀像美式足球,嚇得女性落荒而逃,因此決心動刀縮小。
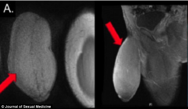
南佛羅里達大學泌尿科醫生凱瑞翁翻遍醫學文獻,都找不到陰莖縮小的前例可參考,只好採用治療陰莖海綿體白膜纖維化的佩洛尼氏病(Peyronie’s Disease)的手術方法,割開少年先前割包皮的疤痕,翻下陰莖皮膚,切下兩邊多餘組織,「像是為陰莖做抽脂手術」。
醫生術後並未丈量少年陰莖尺寸,不過,少年還是比一般男性的生殖器長、粗一點,形狀已經變得對稱,能正常勃起,也有感覺。
對手術結果滿意
少年顯然對手術結果十分滿意。研究發表在最新《性醫學期刊》。
噢買尬!!眾大屌們聽到要對雞雞開刀,應該都覺得很恐怖,雙腳都要交叉護住自己的寶貝兒了吧? 以前M鞭只聽過縮胸手術或是陰莖增大術,陰莖縮小手術還真的是第一次聽到,感覺起來這個手術也蠻危險的,你的下半身/下半生都掌握在醫生的手上了…,一不小心就有變太監的可能,還好最後手術成功,而且這位青少年也很滿意結果,真是太好了!! 所以說雞雞大雖然很不錯,但是如果影響到性生活,尻槍不方便,也找不到進的去的洞的話,真的也很困擾呢! 大家應該要為自己擁有正常尺寸的屌感到慶幸。
話說如果這位青少年去參加我們之前報導過的「短屌趴」的話,入場費就要付170元左右(1英吋50便士),可能會是入場費繳最多的人呢!! 不過跟信手拈來30cm起跳的鄉民們比起來當然還是不夠看啦~
文章來源:蘋果日報
【延伸閱讀】








